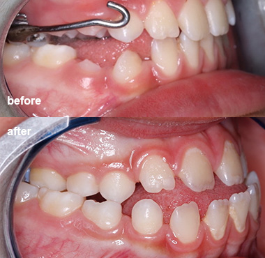
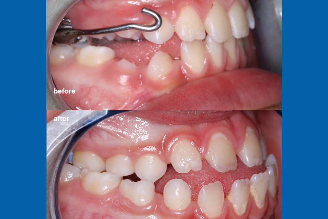
Orthodontics Gallery
Moving your teeth can help you to achieve a better appearance, smile, occlusion, and dental health. Orthodontic treatment can modify the growth of the face and jaws to treat discrepancies during the growth period.
This gallery samples some of our cases before and after treatment. You will notice the improvement is appearance.









